症例
セラミックス治療症例
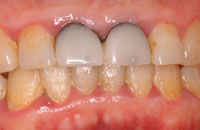
治療前

銀歯の中で虫歯が進行していました。
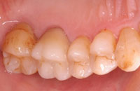
治療後

殺菌消毒後、それぞれセラミックスインレーとセラミックスクラウンをセットしました。赤く映っているのは、プラークの付き具合を調べるための染色液です。
治療期間 | 1か月 |
---|---|
通院回数 | 4回 |
費用 | 150,900円 |
歯周病およびセラミックス治療症例
治療前

前歯の審美障害を気にされていました。歯茎には、発赤と腫脹も見られます。歯周病治療をしてからセラミックスの計画を立てました。
治療後

殺菌消毒後、ファイバーコアとセラミックスクラウンをセットしました。歯茎もきれいになりました。
治療期間 | 3か月 |
---|---|
通院回数 | 10回 |
費用 | 175,800円 |
セラミックス治療症例
治療前

歯の隣接した場所から虫歯が広がっていました。小臼歯は、神経を残せずに抜髄となりました。
治療後

小臼歯は、殺菌消毒後、ファイバーコアとセラミックスクラウンを大臼歯はセラミックスインレーをセットしました。
治療期間 | 2か月 |
---|---|
通院回数 | 6回 |
費用 | 119,400円 |
セラミックスブリッジ治療症例
治療前

歯周病が進行し、右上中切歯を抜歯しました。右下側切歯も失活していたため根管治療後、それぞれセラミックスを計画しました。
治療後

抜歯した部分の骨の回復を待って、セラミックスクラウンブリッジをセットしました。審美的な改善が見られます。
治療期間 | 6か月 |
---|---|
通院回数 | 6回 |
費用 | 432,900円 |
セラミックス治療症例
治療前

右上の大臼歯の咬合痛を訴えていました。原因は歯の破折でした。
神経の処置をしてからセラミックスの計画を立てました。
治療後

根管治療後、ファイバーコアとセラミックスクラウンをセットしました。
治療期間 | 2か月 |
---|---|
通院回数 | 6回 |
費用 | 90,000円 |
セラミックス治療症例
治療前

前歯の審美障害を気にされていました。右上3本の歯は、失活していましたので根管治療後、セラミックスの治療を計画しました。
治療後

右上3本の前歯に殺菌消毒後、ファイバーコアとセラミックスクラウンをセットしました。
治療期間 | 3か月 |
---|---|
通院回数 | 11回 |
費用 | 263,700円 |
セラミックス治療症例
治療前

小臼歯、大臼歯の銀歯の中で虫歯が広がっていましたが、治療後神経はなんとか残せました。
治療後

殺菌消毒後、セラミックスクラウンをセットしました。
治療期間 | 1か月 |
---|---|
通院回数 | 4回 |
費用 | 138,000円 |
セラミックスおよびホワイトニング治療症例
治療前

差し歯の審美障害を気にされていました。ホワイトニング後その色に合わせてセラミックスをセットする計画を立てました。
治療後

右上の前歯をファイバーコアとオールセラミックスクラウンにて審美的に改善しました。ホワイトニングも差し歯の色と調和がとれています。
治療期間 | 2か月 |
---|---|
通院回数 | 7回 |
費用 | 183,900円 |
セラミックス治療症例
治療前

小臼歯の土台と銀歯の中で虫歯が広がっていました。根管治療後セラミックスを計画しました。
治療後

3本の臼歯に殺菌消毒後、ファイバーコアとセラミックスクラウンをセットしました。
治療期間 | 3か月 |
---|---|
通院回数 | 10回 |
費用 | 267,900円 |
セラミックス治療症例
治療前

犬歯は虫歯が深く、抜髄をしました。臼歯3本は、銀歯の中で虫歯が進行していました。
治療後

犬歯、臼歯それぞれ殺菌消毒後、4本のファイバーコアとセラミックスクラウンをセットしました。
治療期間 | 2か月 |
---|---|
通院回数 | 11回 |
費用 | 353,700円 |
セラミックス治療症例
治療前

大臼歯のゴールドインレーと天然歯の内側に虫歯が広がっていました。
治療後

虫歯を完全に除去し、殺菌消毒後、オールセラミックスインレーをそれぞれセットしました。
治療期間 | 1か月 |
---|---|
通院回数 | 4回 |
費用 | 115,500円 |
セラミックス治療症例
治療前

銀歯の中で虫歯が進行していました。小臼歯は、虫歯が深いために抜髄となりました。
治療後

3本ともそれぞれ殺菌消毒後、ファイバーコアとセラミックスクラウンをセットしました。
治療期間 | 2か月 |
---|---|
通院回数 | 6回 |
費用 | 267,900円 |
セラミックスおよびホワイトニング治療症例
治療前

前歯の審美障害を気にされていました。差し歯と左犬歯の虫歯治療を行いました。
補綴治療後にホワイトニングを予定しました。
治療後

差し歯には、殺菌消毒後ファイバーコアとセラミックスクラウンをセットし、天然歯にはホワイトニングを行いました。
治療期間 | 2か月 |
---|---|
通院回数 | 7回 |
費用 | 411,600円 |
セラミックス治療症例
治療前

右下2本の歯が、虫歯でした。小臼歯は一旦神経を残したものの症状が出たために、抜髄となりました。
治療後

大臼歯は、セラミックスインレーを、小臼歯は、根管治療後、ファイバーコアを装着し、セラミックスクラウンをセットしました。
治療期間 | 2か月 |
---|---|
通院回数 | 8回 |
費用 | 119,400円 |
セラミックスおよびインプラント治療症例
治療前

銀歯の中の虫歯進行と銀歯自体の不適合がありました。欠損部分は、咬合力の分散を期待して、インプラントの埋入を計画しました。
治療後

インプラントが骨にしっかり着くのを待って、セラミックスクラウンをセットしました。
治療期間 | 6か月 |
---|---|
通院回数 | 7回 |
費用 | 561,900円 |
インプラント治療症例
治療前

残根を抜歯し、インプラントの計画を立てました。
インプラント単独の治療であれば、両側の隣在歯を削る必要はありません。
治療後

インプラントを埋入し、インプラントが骨にしっかり着くまで待ち、6か月後にセラミックスクラウンをセットしました。
隣在歯を削ることなく治療を終了できました。
治療期間 | 6か月 |
---|---|
通院回数 | 6回 |
費用 | 384,000円 |
インプラントおよびセラミックス治療症例
治療前

最後臼歯が、銀歯の中で虫歯が進行し、保存不可能でした。
抜歯後インプラントの計画を立てました。
治療後

抜歯したところの治癒を待って、欠損部を含めた2本のインプラントを埋入しました。保存可能な根っこも含めて、3本のセラミックスクラウンをセットしました。
治療期間 | 12か月 |
---|---|
通院回数 | 9回 |
費用 | 855,900円 |
インプラントおよびセラミックス治療症例
治療前

初診より他院の治療途中で来院されました。最後臼歯は、保存不可能なため抜歯しました。
治療後

抜歯した部位にインプラントを埋入、臼歯はそれぞれセラミックスクラウンをセットしました。
治療期間 | 6か月 |
---|---|
通院回数 | 9回 |
費用 | 649,800円 |
インプラントおよびセラミックス治療症例
治療前

歯茎が腫れた状態でした。以前治療した根っこが感染していたため、根管治療を行いました。
ブリッジ中央の欠損部にインプラントを埋入し、咬合力を分散させ、失活した歯の負担を減らす計画を立てました。
治療後

インプラント埋入半年後、臼歯にファイバーコアをセットし、単冠でセラミックスクラウンを3本セットしました。
現在、メインテナンスで経過を診ています。
治療期間 | 6か月 |
---|---|
通院回数 | 10回 |
費用 | 561,900円 |
インプラントおよびセラミックス治療症例
治療前

銀歯の中で虫歯が進行していました。最後臼歯は、根っこが保存できなかったために抜歯し、インプラントを埋入する計画を立てました。
治療後

最後臼歯を抜歯して半年後にインプラントを埋入、大臼歯にはセラミックスクラウンを小臼歯には、セラミックスインレーをセットしました。
治療期間 | 6か月 |
---|---|
通院回数 | 10回 |
費用 | 37,000円 |
矯正歯科治療の症例1 (9歳 女の子) 習志野市鷺沼在住
症例
- 9歳の女の子
- 前歯が気になる
- 治療期間2年
◆2011年

◆2013年

エピソード
当医院のHPを見て矯正相談にお母さんと来院。
毎月必ず装置の調整にお母さんと来院され、歯並びがどんどん改善していくことを実感していた様子。
矯正治療終了後には満面の笑みを浮かべていました。
治療期間の比較的長い、取り外し式の床矯正でもがんばれば、2年でここまで改善します。
矯正歯科治療の症例2 (9歳 女の子) 幕張本郷在住
症例
- 9歳の女の子
- 前歯が1本出ているのが気になる
- 治療期間6年
◆2005年

◆2009年

◆2011年

エピソード
2005年に取り外し式の矯正を開始し、ようやく治療終了となった女の子です。
上の前歯が、一本飛び出ていることを気にされていました。取り外し式の矯正を6年間がんばって、きれいな歯並びとなりました。スタート時は、9歳でしたが、今は15歳となりなんでも食べられるとのこと。昼間は、装置を外して食事をよく噛むようにしてもらいました。そのようにすると顎も発達し、消化吸収もよくなり、健康の増進にもつながります。
当医院の矯正は、このように咀嚼力を増進させ、全身の健康にもいい影響を与えます。
矯正歯科治療の症例3 (10歳 男の子) 幕張本郷在住
症例
- 10歳の男の子
- 上顎前突(出っ歯)を改善したい
- 治療期間2年
- 治療後、アレルギー性鼻炎、頭痛、食事中の悪い姿勢が改善
【術前口腔内写真】

【術前模型】

【上下顎側方拡大装置(唇側線付き)】

【術後口腔内写真】

【術後模型】

エピソード
当時10歳だったゆうた君は、お母さんに付き添われてドルフィン歯科へ来院。ゆうた君は、前歯の出っ歯を気にしていました。
実は、お母さんも子供の頃は歯並びが悪く、矯正専門医でのワイヤー矯正を経験されています。ただ、ワイヤー矯正は、彼女にとってはいい印象ではなかったといいます。虫歯でもない永久歯を抜いたこと、針金が口に刺さり、口の中が血だらけになってしまうという苦い経験があったそうです。つらい思いを息子にはさせたくないという親心から、当クリニックに相談にいらっしゃいました。
治療開始後、毎晩の装置装着と毎月1回の装置の調整に休むことなく通ってくれたおかげで、約2年で出っ歯が改善されました。驚いたことに、治療後、アレルギー性鼻炎や頭痛、食事中の悪い姿勢が改善されたとのこと。このように、歯の咬み合わせは、全身にも影響を及ぼしているのです。
この矯正装置は、子供だけではなく、大人でも問題ありません。大人の方には、最新式の取り外し矯正装置であるスライデックス: SlideXと呼ばれる装置をご提供させていただきます。この装置の特徴は、一日装着するのを忘れたとしても再び装着可能な形状記憶ワイヤー付のものです。くわしい説明をご希望の方は、どうぞカウンセリング(説明料金3,240円)までお越しください。
矯正歯科治療の症例4 (12歳 男の子) 成田市在住
症例
- 12歳の男の子
- 前歯の出っ歯感が気になる
- 治療期間2年
◆2011年

◆2013年

エピソード
2011年、10月より取り外し式の矯正を開始した当時12歳の男の子です。
前歯の出っ歯感を気にしていました。
いつもお父さんの付き添いで来られ、毎日8時間以上の装置装着を守ってくれました。
その甲斐あって1年もすると前歯の出っ歯も改善され、狭窄した奥歯も広がってとても食べやすくなったと言っています。
現在は、拡大しない後戻り防止の保定装置に変更し、そろそろ終了というところまで来ています。
出っ歯のコンプレックスもなくなり、顔立ちも凛々しくなりました。
矯正歯科治療の症例5 (26歳 男性) 習志野市在住
症例
- 26歳の男性
- 2年で治療を完了した成人症例
◆2012年

◆2013年

エピソード
小学校時代に矯正相談されていますが、抜歯をする必要があるとの説明を受け
それがいやで、今まで歯並びのことは諦めていたそうです。
大人になってから、当医院の抜歯をしない取り外し式の矯正があることを知り、今まで気になっていた出っ歯の治療を希望されました。
このように成人であっても、一日8時間以上の装置の装着を守っていただければ、早期に治療が終了する場合もあります。
矯正歯科治療の症例6 (15歳 女性) 幕張本郷在住
症例
- 15歳の女の子
- 八重歯が気になる
- 治療期間6年
◆2010年

◆2016年

エピソード
彼女は八重歯が気になり、高校生から当医院の取り外し式矯正を開始し、ようやく就職前に治療が終了しました。
治療途中よく噛めない時期があり、一時装置を外してもらって、よく噛む習慣や口の周囲筋や舌の力を活性化させる、あいうべ体操をしてもらいました。その甲斐あって、きれいな歯並びになりました。
このように、装置を外してる時間も、よく噛むための歯並び獲得には、とても大切な時間となります。
CONTACT
お電話でのご予約・お問い合わせ
定休日:木曜日・日曜日・祝祭日
※土曜日のネット予約は矯正相談
のみの受付となります。